Mustafa Seçil
  • Türkçe
  • İngilizce
  • Ana Sayfa
  • Kişisel Bilgiler
    • Prof. Dr. Mustafa Seçil
    • Muayenehane
  • Paylaşımlar
    • Muayenehane
    • Kitaplar
    • Sunumlar
    • Sunumlar - Video
  • Bize Ulaşın
    • Bize Ulaşın
    • Sipariş Formu
    • EFT Bildirim Formu

Paylaşımlar

  • Muayenehane
  • Kitaplar
    • Temel Ultrasonografi ve Doppler - 5. Baskı
    • Ürogenital Radyoloji
  • Sunumlar
  • Sunumlar - Video

Ürogenital Radyoloji


::

Ürogenital Radyoloji


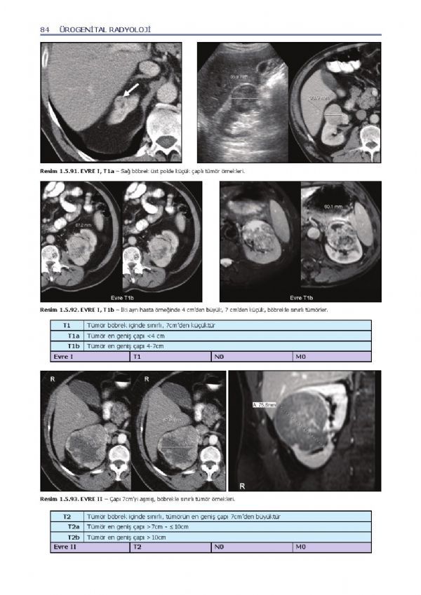
02032011005444_1.1_bobrekler_anatomİ.pdf 02032011003908_tumorler_orta_kisim.pdf


Dokuz Eylül Üniversitesi Tıp Fakültesi Radyoloji Anabilim Dalı İnciraltı İZMİR

Ultrasonografi - Doppler Radyolojik Danışmanlık

  • Prof. Dr. Mustafa Seçil
  • Muayenehane

Mustafa Seçil

0 (232) 465 21 10

msecil@mustafasecil.com

Ziya Gökalp Bulvarı No: 28 Mi'Marin Medical Kat: 6 Daire:12 Alsancak İzmir